第27回柔道整復師過去問題 午後その2
問題176
大理石骨病で誤っているのはどれか。
1. 骨硬化像を示す。
2. 水頭症を合併する。
3. 視力障害をきたす。
4. 病的骨折を生じる。
答え.2
問題177
続発性骨粗潅症の原因で誤っているのはどれか。
1. 関節リウマチ
2. 副腎皮質ステロイド薬
3. 甲状腺機能低下症
4. 安静臥床
答え.3
問題178
6歳の男児。ガワーズ徴候陽性で、両側の下腿三頭筋は肥大している。病状が進行するとみられる所見はどれか。
1. 下肢深部腱反射充進
2. 分回し歩行
3. 外眼筋麻揮
4. 呼吸量減少
答え.4
問題179
化膿性関節炎で誤っているのはどれか。
1. 起炎菌は黄色ブドウ球菌が多い。
2. 治療の第一選択は保存療法である。
3. 小児では血行感染が多い。
4. 糖尿病は発症の危険因子となる。
答え.2
問題180
シヤルコー(Charcot)関節の原因疾患となりうるのはどれか。
1. 糖尿病性神経炎
2. 神経痛性筋萎縮症
3. エルプ(Erb)麻揮
4. シヤルコー・マリー・トウース(Charcot-Marie-Tooth)病
答え.1
問題181
変形と原因の組合せで正しいのはどれか。
1. 三尖手 ─── 胸郭出口症候群
2. 鷲手 ─── 外反肘
3. 下垂手 ─── 後骨間神経麻痺
4. 猿手 ─── ギヨン(Guyon)管症候群
答え.2
問題182
つま先歩き破行になるのはどれか。
1. フライバーグ(Freiberg)病
2. プラント(Blount)病
3. ケーラー(K6hler)病
4. セーバー(Sever)病
答え.4
問題183
化学療法に感受性の低い悪性骨腫瘍はどれか。
1. 悪性リンパ腫
2. 骨肉腫
3. 軟骨肉腫
4. ユーイング(Ewing)肉腫
答え.3
問題184
30歳の男性。6か月前から運動で軽減する腰痛があり、腰椎の背屈制限を伴っている。この患者にみられる所見はどれか。
1. 腱付着部炎
2. 間欠性破行
3. 関節内石灰沈着
4. 腸骨翼形成不良
答え.1
問題185
70歳の女性。転倒して大腿骨近位部を骨折した。二重エネルギーエックス線吸収法による腰椎の骨密度は若年成人平均値の78%であった。骨粗霧症の薬物治療を開始する判断で正しいのはどれか。
1. 今すぐに開始する。
2. 喫煙歴があれば開始する。
3. 脆弱性骨折の家族歴があれば開始する。
4. 今後骨密度の低下が生じれば開始する。
答え.1
問題186
完全骨折はどれか。
1. 陥凹骨折
2. 竹節状骨折
3. 剪断骨折
4. 骨膜下骨折
答え.3
問題187
骨挫傷が証明される画像はどれか。
1. 超音波
2. 単純エックス線
3. CT
4. MRI
答え.4
問題188
関節包内骨折はどれか。
1. 上腕骨外科頸骨折
2. 上腕骨穎上骨折
3. 大腿骨頚部内側骨折
4. 大腿骨大転子単独骨折
答え.3
問題189
握雪音を生じるのはどれか。
1. 仮骨の軟化
2. 外傷性皮下気腫
3. 偽関節
4. 外傷性骨化性筋炎
答え.2
問題190
施術録で正しいのはどれか。
1. 患者本人以外に対する説明は記載しない。
2. 訂正する場合は修正液を用いる。
3. 業務範囲外で転医した場合は記載しない。
4. 施術完結の日から5年間保存する。
答え.4
問題191
骨折の固定で正しいのはどれか。
1. 骨折部の安静を目的とする。
2. 解剖学的正位を原則とする。
3. 範囲は患部より遠位2関節とする。
4. 期間はリモデリング期終了までとする。
答え.1
問題192
胸骨骨折で正しいのはどれか。2つ選べ。
1. ハンドル損傷で発生する。
2. 斜骨折が多い。
3. 呼吸運動に障害はみられない。
4. 合併症に縦隔内臓器損傷がある。
答え.1 4
問題193
ゴルフの右スイングによる肋骨疲労骨折の好発部位はどれか。
1. 右第1.2肋骨斜角筋付着部
2. 右第7.8肋骨結節部
3. 左第3.4肋骨前鋸筋付着部
4. 左第5.6肋骨角部
答え.4
問題194
腰椎椎体圧迫骨折で正しいのはどれか。
1. 下位腰椎に多発する。
2. 椎体は模状変形を呈する。
3. 亀背変形を呈する。
4. 脊髄症状を呈する。
答え.2
問題195
肩甲骨体部骨折で正しいのはどれか。
1. 介達外力による発生が多い。
2. 横骨折はまれである。
3. 大きな転位を生じる。
4. 上肢の外転動作が困難となる。
答え.4
問題196
上腕骨解剖頸骨折で正しいのはどれか。
1. 小児に好発する。
2. 骨折部の変形が著明である。
3. 肩関節内転位で固定する。
4. 阻血性骨壊死の危険性がある。
答え.4
問題197
上骨順上伸展型骨折で正しいのはどれか。
1. 顆上部に強力な後方凸の屈曲力が働き発生する。
2. 肘関節部に高度な腫脹を認める。
3. 肘関節前方脱臼との鑑別が必要である。
4. 偽関節を生じやすい。
答え.2
問題198
関節伸展位で固定するのはどれか。
1. 上腕骨骨幹部骨折
2. モンテギア(Monteggia)骨折屈曲型
3. 上腕骨内側上順骨折
4. 橈骨頭骨折
答え.2
問題199
前腕骨遠位端部骨折で正しい組合せはどれか。
1. コーレス(Colles)骨折 ─── 鋤状変形
2. スミス(Smith)骨折 ─── フォーク状変形
3. バートン(Barton)骨折 ─── 遠位梼尺関節不全脱臼
4. ショウファー骨折 ─── 関節内骨折
答え.4
問題200
手舟状骨骨折で誤っているのはどれ.か。
1. 手関節背屈僥屈時に運動痛がある。
2. 関節内骨折はまれである。
3. 近位3分の1の骨折は壊死が生じやすい。
4. スナップボックスの圧痛がある。
答え.2
問題201
外傷と固定方法の組合せで正しいのはどれか。
1. 鎖骨骨折 ─── ハンギングキャスト
2. ガレアジ(Galeazzi)骨折 ─── ショートアームキャスト
3. 膝内側側副靭帯損傷 ─── シリンダーキャスト
4. 脛骨粗面部骨折 ─── PTBキャスト
答え.3
問題202
棘果長が延長するのはどれか。
1. デュベルニー(Duverney)骨折
2. マルケーニユ(Malgaigne)骨折
3. 大腿骨頸部内転型骨折
4. 股関節後方脱臼
答え.1
問題203
大腿骨骨幹部骨折で誤っているのはどれか。
1. 介達外力による発生が多い。
2. 斜骨折は再転位の傾向が強い。
3. 開放性骨折となることがある。
4. ショック、合併症に十分注意する。
答え.1
問題204
足根骨骨折で正しい組合せはどれか。
1. 距骨骨折 ─── リスフラン関節脱臼の合併
2. 踵骨骨折 ─── ベーラー角の減少
3. 舟状骨骨折 ─── 足底の感覚障害
4. 立方骨骨折 ─── 内側アーチの低下
答え.2
問題205
反復性肩関節脱臼で正しいのはどれか。
1. 上腕二頭筋長頭腱損傷の合併が多い。
2. サルカス徴候が出現する。
3. 高齢者に多くみられる。
4. 肩甲下筋が障害される。
答え.4
問題206
橈骨頭脱臼で正しいのはどれか。
1. 後方に脱臼することが多い。
2. 前腕回外強制で発生する。
3. 尺骨骨折を伴うことが多い。
4. 前骨間神経損傷を合併する。
答え.3
問題207
手のPIP関節脱臼で正しいのはどれか。
1. 掌側脱臼が多い。
2. 浅指屈筋腱断裂ではDIP関節を屈曲できない。
3. 正中索の損傷の場合は屈曲位で固定する。
4. ボタン穴変形は徐々に発生する。
答え.4
問題208
股関節脱臼を腹臥位で整復するのはどれか。
1. 牽引法
2. デパルマ法
3. コッヘル法
4. ステイムソン法
答え.4
問題209
膝関節脱臼で正しいのはどれか。
1.前方脱臼は過度の屈曲が強制され発生する。
2. 後方脱臼はダッシュボード損傷で発生することが多い。
3. 外側脱臼は下腿が内旗する。
4. 内側脱臼は完全脱臼となる。
答え.2
問題210
膝蓋骨脱臼で正しいのはどれか。
1. 膝蓋骨は内方へ転位することが多い。
2. Q角は減少する。
3. 膝は軽度屈曲位に弾発性固定される。
4. 膝関節90度屈曲位で固定する。
答え.3
問題211
膝蓋骨外側脱臼の固定除去後に行う筋力強化で有効なのはどれか。

1. a
2. b
3. c
4. d
答え.1
問題212
神経根型の頚部捻挫で正しいのはどれか。
1. 胸鎖乳突筋の筋力低下
2. 上肢の感覚障害
3. 肩関節の拘縮
4. 下肢深部反射の減弱
答え.2
問題213
各検査の評価方法で誤っているのはどれか。
1. SLRは膝伸展位で股関節屈曲90度までの痙痛出現をみる。
2. ルーステストは1分間の運動継続をみる。
3. スピードテストは結節間溝への癌痛出現をみる。
4. ファーレンテストは1分以内の症状出現をみる。
答え.2
問題214
クワドリラテラルスペース症候群で誤っているのはどれか。
1. 腋窩神経の絞掘性障害である。
2. 肩関節外転動作が困難となる。
3. 棘下筋に萎縮がみられる。
4. 肩外側に感覚障害を認める。
答え.3
問題215
末梢神経障害と症状の組合せで正しいのはどれか。
1. 前骨間神経麻揮 ─── 母指球筋の萎縮
2. 後骨間神経麻蝉 ─── ティアドロップアウトライン
3. 肘部管症候群 ─── フローマンサイン
4. 円回内筋症候群 ─── 骨間筋の萎縮
答え.3
問題216
単純性股関節炎で正しいのはどれか。
1. 女児に多く発生する。
2. 両側同時発症はない。
3. 股関節開排制限が特徴である。
4. 大腿骨頭壊死を起こすことがある。
答え.2
問題217
大腿骨部前面の打撲で誤っているのはどれか。
1. コンタクトスポーツで多くみられる。
2. 初期は膝関節屈曲位で固定する。
3. 受傷後24時間を経過したら温熱療法が有効である。
4. 疼痛増悪時は医師に診断を仰ぐ。
答え.3
問題218
臥位で被検者の膝関節を90度屈曲位とし、検者が下腿と踵部を把握、脛骨長軸近位方向へ圧迫を加えながら下腿を内旋したところ、関節部に疼痛が誘発された。この徒手検査で判明する損傷部位はどれか。
1. 十字靭帯
2. 側副靭帯
3. 関節半月
4. 関節滑膜ひだ
答え.3
問題219
有痛性三角骨障害で正しいのはどれか。
1. 足部の過剰骨で最も頻度が高い。
2. 足関節最大背屈で疼痛を訴える。
3. 足関節後内側の疼痛がみられる。
4. 足関節捻挫を契機に発症する。
答え.4
問題220
足根管症候群で正しいのはどれか。
1. 足根管は内果後壁と伸筋支帯で形成される。
2. 腓骨神経枝の絞掘性神経障害である。
3. 足背部の感覚異常が主症状である。
4. 過度回内足は足根管内腔を狭める。
答え.4
問題221
18歳の男子。3週前、サッカーの試合中に右足関節を捻挫し、施術を行っていた。現在、日常生活での歩行で足関節部に疼痛や不安感はないが、運動時に踵骨隆起部の疼痛を訴えている。テーピングの写真(別冊No.2)を別に示す。競技復帰時に行う適切なテーピングはどれか。

1. a
2. b
3. c
4. d
答え.2
問題222
70歳の女性。石につまずき、手関節を軽度背屈位・過度回内位で手を衝いた。手関節の近位2cm付近に限局性圧痛がみられ腫脹著明で、同部位の幅も著しく増大していた。整復後の固定肢位はどれか。
1. 前腕回内位、手関節軽度掌屈位、軽度尺屈位
2. 前腕回内位、手関節軽度背屈位、軽度橈屈位
3. 前腕回外位、手関節軽度掌屈位、軽度橈屈位
4. 前腕回外位、手関節軽度背屈位、軽度尺屈位
答え.4
問題223
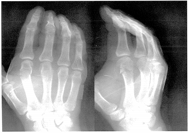
31歳の男性。空手の稽古中、試し割りで板を拳で突いた際に受傷した。第2MP関節付近に強い疼痛と腫脹を認め、拳を握ると疼痛が増強する。単純エックス線写真(別冊No.3)を別に示す。この疾患で適切でないのはどれか。

1. 転位には骨間筋と虫様筋が作用する。
2. 側副靭帯を弛緩させると整復が容易になる。
3. 屈曲変形が残存すると伸展障害を起こす。
4. オーバーラッピングフィンガーに注意する。
答え.2
問題224
15歳の男子。陸上100m走でスターートと同時に左股関節に疼痛が生じた。単純エックス線写真(別冊No.4)を別に示す。膝屈曲位で制限される股関節運動はどれか。

1. 屈曲・外転・外旋
2. 屈曲・内転・内旋
3. 伸展・外転・外旋
4. 伸展・内転・内旋
答え.1
問題225
19歳の男性。2か月前にスノーボード滑走中に右肩を衝いて転倒した。肩関節の動きは悪かったが放置していた。症状が一向に改善しないため来所した。初検時、頚部から肩甲部にかけての自発痛があり、肩関節自動運動は屈曲90度、外転80度に制限されていた。両手で壁を押し付けさせる動作をしたところ、図のような現象がみられた。最も考えられるのはどれか。

1. 鎖骨不全骨折
2. 肩関節脱臼
3. 棘上筋腱損傷
4. 長胸神経麻痺
答え.4
問題226
22歳の男性。サイクリングが趣味である。最近、右手の環指、小指のしびれを自覚し来所した。図の検査を実施し陽性であった。わずかであるが骨間筋と小指球筋に萎縮がみられた。また、前腕の感覚障害はみられなかった。他に考えられる所見はどれか。

1. 下垂指
2. 祝祷肢位
3. スワンネック変形
4. 鉤爪指変形
答え.4
問題227
25歳の女性。2週前、転倒した際に右手を衝いて受傷したが、しばらく安静にしていたので症状は治まっていた。最近、手を使う作業が多く、手関節尺側に痙痛が出現してきたので来所した。手関節尺側部に圧痛があり、尺骨頭に軽度不安定性がみられた。困難な動作はどれか。
1. ドアノブを捻る。
2. 食事を摂る。
3. 顔を洗う。
4. 文字を書く。
答え.1
問題228
8歳の男児。6歳からサッカーを始めた。特に肥満はない。lか月前から右膝から大腿部にかけての癌痛を訴えていた。しばらく様子をみていたところ、母親が破行に気付き来所した。膝関節に腫脹や圧痛、不安定性などはなく、大腿部も若干の筋緊張はあるものの明確な所見はなかった。股関節は外転・外旋に制限がみられた。スカルパ三角部に圧痛を認め、パトリックテストも陽性であった。最も考えられるのはどれか。
1. 鼠径部痛症候群
2. 単純性股関節炎
3. ペルテス(Perthes)病
4. 大腿骨頭すべり症
答え.3
問題229
36歳の女性。退職し母親の介護を始めた昨年から体重が10kg増加した。2週前から右足関節内果周辺に痙痛がみられ、内果後方から遠位にかけて軽度の圧痛を認めた。踵部は外反位を呈し、つま先立ちは痛みのため困難である。考えられる疾患はどれか。
1. 内果疲労骨折
2. シンスプリント
3. 変形性足関節症
4. 後脛骨筋腱炎
答え.4
問題230
30歳の男性。スキー滑走中に転倒し、ストックのストラップに右母指が引っ掛かり受傷した。来所時右母指に疼痛、腫脹がみられた。最も困難な動作はどれか。
1. キーボードを叩く。
2. 鍵を回す。
3. ボールを握る。
4. 瓶の蓋を開ける。
答え.2
関連ページ
- 第27回柔道整復師過去問題 午前その1
- 柔道整復師の国家試験過去問題です。第27回の国家試験過去問題を記載しています。スマホ対応ですので、いつでもどこでも柔道整復師過去問題を解くことができます。
- 第27回柔道整復師過去問題 午前その2
- 柔道整復師の国家試験過去問題です。第27回の国家試験過去問題を記載しています。スマホ対応ですので、いつでもどこでも柔道整復師過去問題を解くことができます。
- 第27回柔道整復師過去問題 午後その1
- 柔道整復師の国家試験過去問題です。第27回の国家試験過去問題を記載しています。スマホ対応ですので、いつでもどこでも柔道整復師過去問題を解くことができます。
